
【上消化道出血治療】中大研究:使用「內窺鏡鉗」止血病人 30天內進一步出血機會率較標準治療低
不同疾病的治療方法日新月異,中大醫學院與來自香港、內地和澳洲的研究人員進行一項隨機對照研究發現,內窺鏡檢查時如發現病人有非靜脈曲張性上消化道持續出血,以內窺鏡鉗(over-the-scope clips, OTSCs)作初步治療可能比標準止血治療更有效減低進一步出血的風險。研究人員發現接受標準治療的病人止血後30天內進一步出血的比率為14%,但接受內窺鏡鉗治療的則僅3%。他們提倡將內窺鏡鉗用於預計無法透過標準治療止血的潰瘍病人。
Photo from 中大醫學院
標準治療失敗率接近10%
上消化道出血是常見的急症,香港每年每10萬名成人中約有130人發病,症狀包括吐血、血便,或兩者同時出現,患者一般需要接受內窺鏡止血。現有的標準治療包括止血鉗或接觸性加熱裝置,然而失敗率接近10%。病人接受內窺鏡止血治療後倘進一步出血,會增加死亡風險。
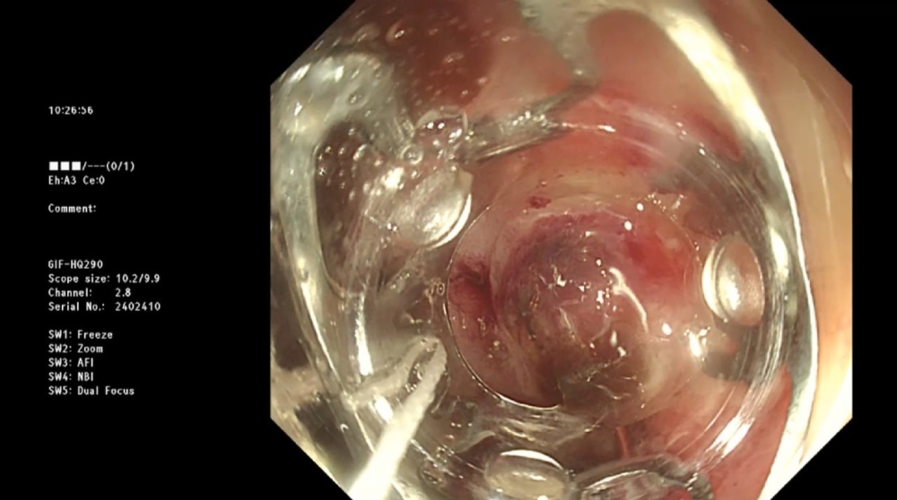
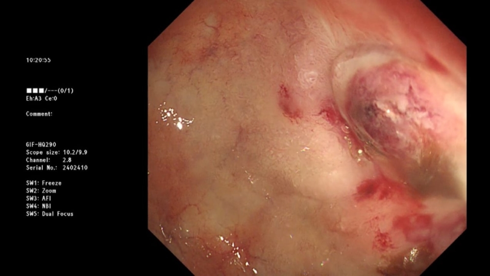
內窺鏡鉗OTSCs是經內窺鏡止血治療的新興選擇。它們是套在內窺鏡末端的形狀記憶(memory-shaped)鉗子,用於全層粘膜缺損的內窺鏡閉合和止血。內窺鏡鉗展開後,會牢牢地擠壓出血血管,並穩妥地留在消化道內以防因鉗子移位引致再出血。內窺鏡鉗常用於非靜脈曲張性的嚴重兼反覆出血。
Photo from 中大醫學院
Photo from 中大醫學院
使用內窺鏡鉗止血的病人 30天內進一步出血的機會率較低
研究結果已在著名期刊《內科學年鑑》(Annals of Internal Medicine)上發表。是次研究中,190名經內窺鏡檢查發現非靜脈曲張性持續出血或尚未出血但血管明顯的病人,被隨機分配接受標準治療或內窺鏡鉗治療。這些病人來自香港、內地和澳洲共七所大學醫院,當中大部分為香港威爾斯親王醫院病人。
結果發現,接受標準治療的病人30天內進一步出血的累積機會率為14%(97名病人中有14人進一步出血),而接受內窺鏡鉗治療的病人則有3%出現此情況(93名病人中有3人進一步出血)。這反映為患有上消化道潰瘍及其他非靜脈曲張病變的病人進行初步治療時,內窺鏡鉗比標準治療或更有效預防進一步出血。
研究通訊作者、中大醫學院外科學系系主任兼姚連生外科講座教授劉潤皇教授表示,建議使用內窺鏡鉗作為初步治療時,必須十分謹慎。因為內窺鏡鉗成本高,而且整個治療程序涉及安裝鉗子、放入及收回內窺鏡,令治療時間延長。負責操作的醫生也須在使用內窺鏡鉗前接受培訓。因此,我們提倡將內窺鏡鉗主要使用在預計無法透過標準治療達到理想效果的潰瘍病人身上。
在一份隨附上述研究的評論文章中,加拿大麥基爾大學醫療中心(McGill University Health Centre)Alan Barkun教授及其團隊亦支持劉教授及其所屬研究團隊的結論。他們指出,內窺鏡鉗應該用於標準治療失敗風險較高的病變患者,包括出血範圍逾2厘米的潰瘍,或出血位置處於胃小彎較高處或十二指腸球部後部的患者。
Text : UrbanLife Health Editorial
Photos : 中大醫學院




