
【愛糖如痴】3歲男童愛吃糖 牙齒幾乎蛀光 細菌上眼險失明
每個小朋友都愛吃糖果、不愛刷牙,直到有了第一隻蛀牙,被牙醫手把手教導刷牙,才明白刷牙的重要性。泰國有一名3歲男童,因為常吃糖果,而又長期沒有刷牙,令他不但滿口蛀牙,更差點失明。

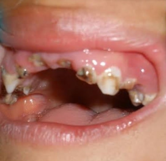
泰國的一名牙醫院院長Arak Wongworachat早前在社交平台facebook上分享,指有一名3歲男童近日因左眼紅腫至不能睜開眼而求醫。醫生發現,男童的牙齒幾乎蛀光,看不見一隻完整無缺的,有的蛀牙更陷入至牙根及牙肉,十分恐怖。經X光檢查後發現,男童鼻竇中有膿液,懷疑是受蛀牙的細菌入侵,引起鼻竇炎,繼而擴散至眼睛。
原來男童的家人和親戚都十分喜歡請男童吃糖果,因為這樣能阻止男童哭鬧。但家人卻疏於教導正確的口腔清潔程序或幫忙清潔口腔,而且男童沒有上幼兒園或托兒中心,以至外人並未能及時發現男童的情況。

最終醫生將男童的所有蛀牙都拔除掉,並持續清除膿液同治療,男童的症狀才能逐漸好轉,眼睛上發炎紅腫亦漸漸散退。
本港衞生署提醒家長,千萬不要輕視孩童蛀牙問題,因為幼兒的牙齒會比成人蛀壞得快、廣泛,並且嚴重。起初會從上排門牙表面出現很大範圍的蛀牙洞,然後會開始向後牙蔓延,逐一蛀壞。
嚴重蛀牙除了會牙痛不適,如果放任不管更會引致牙髓發炎及產生膿瘡,當細菌透過蛀牙侵入其他部位,例如穿過顎骨及皮膚、進入眼部、上腦及阻塞氣道等,後果則不堪設想,所以家長應教導兒女正確的口腔清潔觀念,並應定時帶孩童做牙科檢查。
Text : UrbanLife Editorial
Photos : Arak Wongworachat@Facebook
Source : Arak Wongworachat@Facebook、牙齒俱樂部




