
【停經年齡】58歲婦人未停經、血量更暴增 揭子宮比正常大1倍患子宮內膜癌

振興醫院婦產科醫生李偉浩在《醫師好辣》節目中分享,他曾收治一位婦人,對方58歲仍沒停經,生理期每個月規律報到,而近半年來月經血量暴增,亦前往婦科檢查。
得知該女士健檢無異狀、雌激素指數高,李偉浩聽了秒皺眉,並表示,「不太對,正常來講平均女性的停經年紀52歲左右,所以55歲以後才停的人相對來講真的很少,她(該女士)血量又非常大,覺得很怪。」
該女士立即反駁道,「醫生不奇怪,我真的沒停經!」,還自爆近期抽過雌激素「雌二醇E2」有180。對此,李偉浩指出,正常停經女性數值應小於50,後經超聲波檢查一看,「哇!子宮好大,有12厘米,正常的在5、6厘米,停經後則會縮小到3厘米左右。」

更重要的是,育齡女性的子宮內膜在1.5厘米上下,該女士的厚度已超過2厘米,不外乎是子宮內膜增生,李偉浩擔心可能是子宮內膜癌。
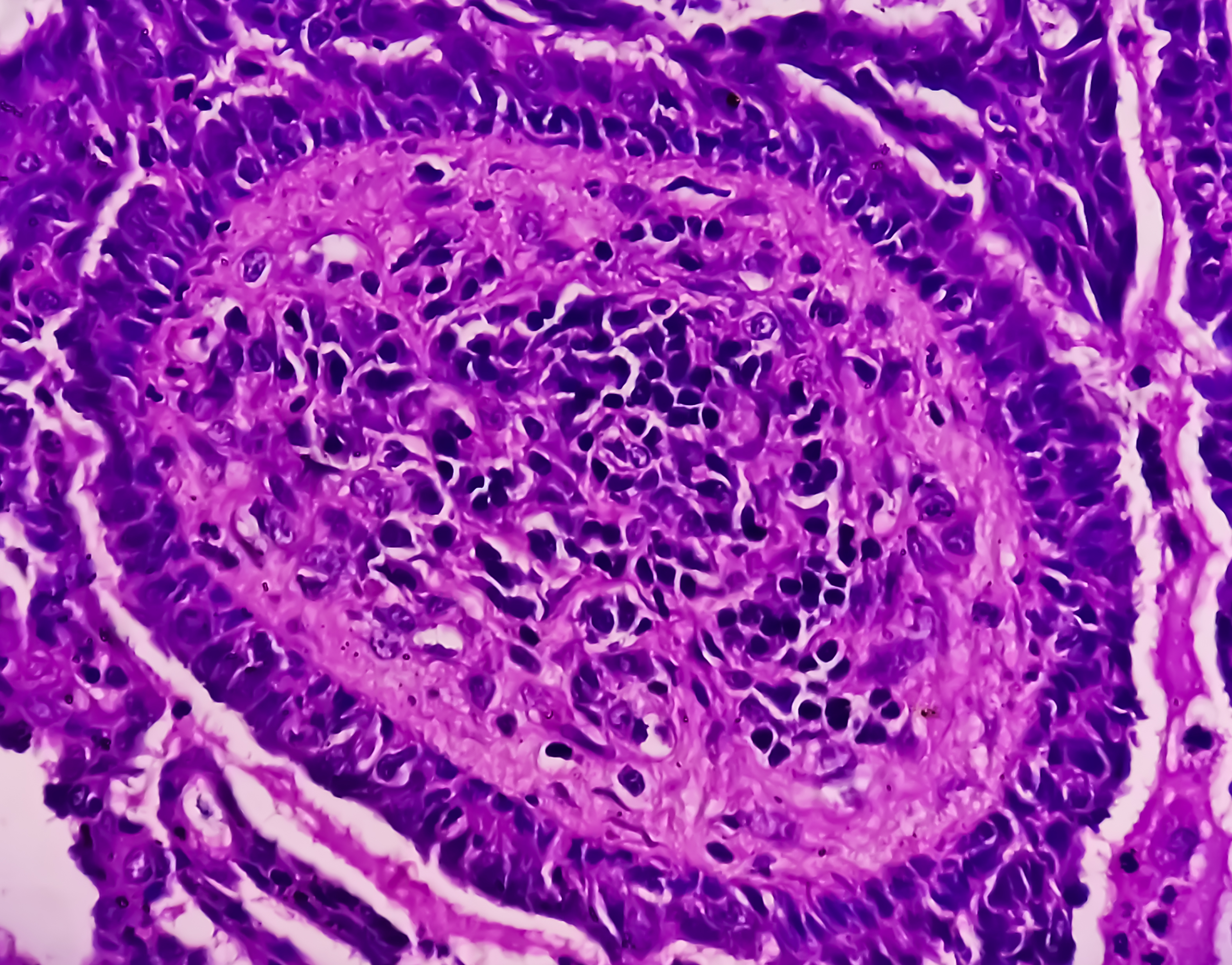
李偉浩告知要進行內膜切片,該女士卻拒絕。事隔1個月,對方因經血過多導致貧血掛急診,故立即讓她住院輸血,並做切片檢查,病理報告出來真的是子宮內膜癌,令她難以置信。
目前醫學界對子宮內膜癌的成因仍未完全知曉,但不少文獻提及卵巢分泌的兩種荷爾蒙:雌激素和黃體酮,乃維持子宮內膜健康生長的要素,若其分泌失調、配合不當,傾向多分泌雌激素的話,患上子宮內膜癌的風險便會提高。
子宮內膜癌風險在於初經來得早、停經來得晚,請注意,女性荷爾蒙刺激時間過長、荷爾蒙分泌量過高或過低,都屬不正常,應達到平衡狀態。
Text:UrbanLife Health Editorial
Photos:UrbanLife Health Editorial




