
【珍奶控注意】14歲少女喝完珍珠奶茶 便秘5天 發現過百粒珍珠塞滿腸胃
近年開了不少手搖飲品店,不論是什麼類型的店舖,都容易找到珍珠奶茶的蹤影,但你又有沒有想過吃下的珍珠,會留在胃部並沒有完全消化呢?

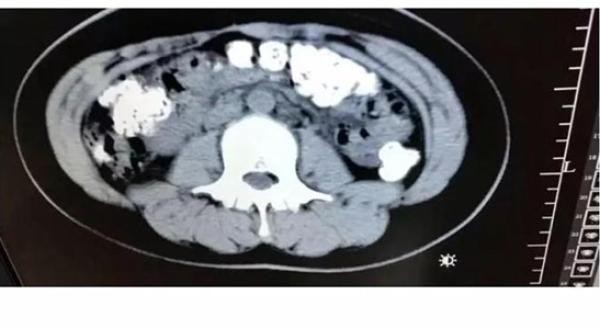
根據內地媒體報道,一名14歲的少女小沈喝完珍珠奶茶後,連續便祕5天,並感覺肚子痛,吃不下東西。在5月28日,父母陪小沈到浙江諸暨市人民醫院求診,醫生看見她的肚子脹起,於是為她安排了腹部電腦斷層掃描。
掃瞄結果令人大吃一驚,小沈的胃部、橫結腸、升結腸、降結腸、乙狀結腸,甚至一直到肛門,都發現了顆粒狀陰影,數量更超過100粒。後來醫生詢問小沈最近有沒有進食不易消化的食物。小沈才吞吞吐吐說出5天前曾喝過珍珠奶茶。


醫生指出:
「小沈可能怕父母責怪她,而隱瞞了真相。在掃描中發現數量如此多的珍珠,應該不可能只因喝了一杯珍珠奶茶,而應該是喝了一段時間累積下來的。」









