
【恐怖大腫瘤】女子腹脹痛爆求醫揭腹腔佈滿腫瘤 最大直徑23厘米大如排球
沒有懷孕但腹部異常腫大,必須馬上求醫!內地一名女子近日發現腹部異常腫大,更有一些不規則的腫塊,脹痛難忍的她前往尋醫,結果醫生發現劉女士腹腔裡有多個腫瘤,最大的甚至像排球這麼大,幾乎佔據整個腹腔,需要緊急進行手術切除。
Photo from 湖北日報網
腹部出現不規則突起
來自內地隨州、47歲的劉女士自2020年起基因子宮平滑肌肉瘤已經在多家醫院治療,其中還做過3次手術。但近日發現腹部出現疼痛感,且脹得像孕婦,腹部上明顯可見大大小小不規則的突起,無可奈何下到醫院求醫。
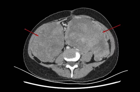
醫生向劉女士詢問病史與檢查後,從CT上發現劉女士的腹腔裡有多個腫瘤,而且最大的腫瘤直徑約23厘米,有如排球這麼大。其他大大小小的腫瘤布滿著整個盆腔與腹腔,甚至已經壓迫腹腔裡的內臟器官,如不儘快切除就會危及生命。
醫生向劉女士解釋「如果不及時處置,一旦肌瘤繼續生長,壓迫腸管,導致腸梗阻,容易危及生命。」,對此,劉女士瞭解到手術的嚴重性後,決定入院接受治療。
即睇更多人氣文章:
【舒淇馮德倫大曬放閃圖】46歲舒淇頭上現白髮 網民大讚:女神很真實!毫不畏懼展現自己變老的事實
【遺愛人間】51歲男子除夕腦死亡、捐出全部器官 逾百名醫護初二銷假趕回醫院救20人重生

手術難度高 腹腔與盆腔內腫瘤佔據大面積
醫生表示,在手術的過程中,劉女士的腹腔與盆腔內的腫瘤已經佔據大面積無法推動,導致手術空間非常狹小。且劉女士之前還曾進行過3次腹部手術,有著嚴重的腹腔粘連,在分離過程中創面滲血嚴重,這些情況的發生為手術增加了難度。
切除多個腫瘤 危機解除
由於劉女士的腫瘤已經巨大到壓迫腹腔內臟器官,醫生通過術中超聲引導與微波消融替劉女士切除右側腹腔與盆腔的巨大腫瘤,左側腹腔腫瘤也減少了3/4以上的腫瘤,大大的減緩了腹腔壓迫情況,同時也為後續抵抗腫瘤的治療爭取了重要的時間。因如果腫瘤繼續壓迫臟器,或許劉女士還沒開始接受治療,就已經面臨生命危機。幸好,經過這次的手術,劉女士的病情與生命體徵逐漸穩定,恢復狀態良好。
Text : UrbanLife Health Editorial
Photos : UrbanLife Health Editorial、湖北日報網、網上圖片




