
【結節Q&A】結節是癌症先兆?還是虛驚一場?肌肉、聲帶、肺、甲狀腺、肝、乳房都會有?

結節(nodule)在醫學上是指一種小而堅實的團塊,通常直徑大於1mm。結節可出現於身體不同位置,例如肌肉、聲帶、肺、甲狀腺、肝、乳房等組織。在超聲波或X光片中,結節一般會呈現為陰影,但陰影亦有可能是由細菌感染造成的發炎,或肺部曾經受傷過而留下的疤痕。單靠一般檢查實在難以判斷陰影是否結節,更何況是良性或惡性,因此需進一步檢查,例如電腦掃描(CT)、磁力共振掃描(MRI)等,才能釐清其性質。
「結節」不一定惡性 定期監察免惡化
結節最常在甲狀腺、乳腺、肺部檢查等中發現。檢查發現體內有結節的人群只需及時就醫,在醫生的建議下制定細緻周全的治療方案即可,無需過分緊張。
大部分甲狀腺結節都是良性,個人體質、家族遺傳皆有可能是引發因素。其他甲狀腺結節成因,包括幼年時接受過大量輻射,例如放射治療或接受過多次頸部X光檢查,以及長期缺乏防護裝備下接受輻射。少於4mm的結節建議進行定期檢查跟進,而較大的結節,尤其壓迫到周邊氣管或神經,可與醫生討論以手術切除。
乳腺結節通常與雌激素反常增高有關、刺激乳腺異常增生從而產生結節。總體來說,大多數乳腺結節是良性病變,未必需要進行手術切除。儘管如此,還是要依醫生指示對自身乳腺結節進行密切的觀察,一旦發現乳腺結節增長速度過快,可及早就醫。
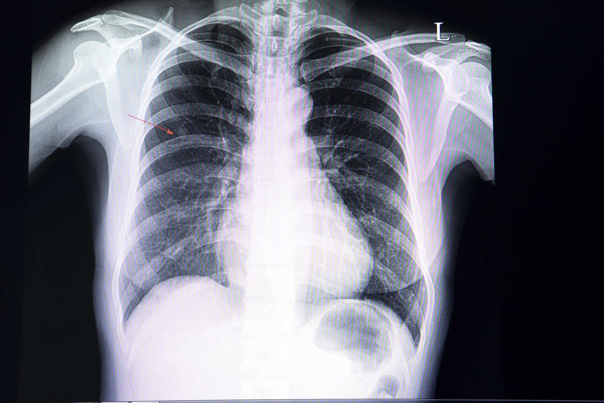
肺部結節聽起來似乎也很嚇人,但出現肺結節是否代表患癌?不一定!其實肺結節演變成惡性腫瘤的機會很低,超過9成的肺結節均屬良性,即使大於8mm結節的癌變機率亦只有約3%。不過,由於結節越大,病變機率越高,因此仍需要定期觀察結節,及早發現是否有變大或惡化跡象。

吸煙人士患肺結節風險較高?
在肺結節的引發因素中,吸煙與肺結節是否有必然關係?其實不一定!吸煙者與非吸煙者同樣有患肺結節的風險,但需要注意的是,兩者所得肺結節的性質可能不同:吸煙者大部分患「實性肺結節」(solid nodule),非吸煙者大部分患「磨玻璃肺結節」(ground glass nodule)。
「實性肺結節」增長速度較快,甚至有機會一年內演變成中期或晚期肺癌。如患者適合進行手術,建議越早切除越好。「磨玻璃結節」發展速度一般較慢,無需急於手術,定期監察結節大小即可。
對於經常吸煙的肺癌高危群組人士而言,接受肺部低劑量CT檢查(low dose CT),是重要的年度身體檢查之一。美國癌症協會建議,年齡介乎55至74歲人士,已有30年煙齡或戒煙不足15年,應每年以低劑量CT進行肺癌篩查。資料顯示該群組連續接受三年篩查有效及早發現癌變跡象,從而將整體肺癌死亡率降低20%。香港防癌協會亦對55至80歲的成年人提出類似建議。
Text:臨床腫瘤科專科醫生蔡添成醫生
Photos : UrbanLife Health Editorial








