
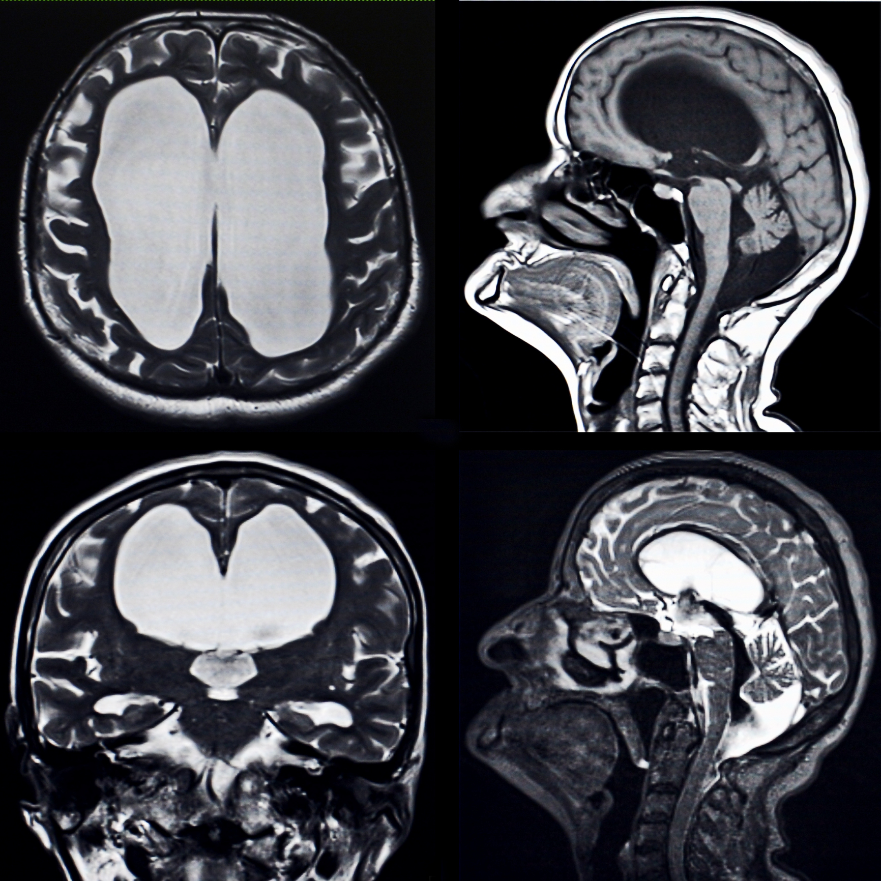
【腦積水】美國女子抑鬱症6年服藥不果 持續記憶力衰退、脾氣暴躁檢查驚現嚴重腦部積水
美國一名女子患抑鬱症,雖服抑鬱症藥6年,但病情卻沒有好轉。後經醫生檢查,才發現她嚴重腦積水,而於治療完成,其情緒問題即消失,她重新回歸日常生活。

該女士叫克洛伊,根據《每日郵報》的報導,她自2016年10月,就因為情緒方面問題而一直逃學,後接受精神科治療,被診斷罹患嚴重抑鬱症。
雖然她吞了精神科醫生開的抑鬱症藥物整整6年,沒想到病情仍舊沒起色,甚至在患病初期惡化,其記憶亦出現問題,導致她經常會忘記要交作業、刷牙會忘記。在2019年,克洛伊開始會突然暴怒,並出現攻擊性舉動,接著嚴重到連右腳也不能控制。

自2020年9月,克洛伊的家人發現她的情況越來越糟,因此花了約18萬美元(約141萬港幣),將她送往當地的心理治療機構長達6個月。直到醫生覺得不對勁、將克洛伊送急診做腦部檢查,才發現她有「腦積水」,且屬非常嚴重,不過藉手術清除,克洛伊恢復極快,在3個月後,她不但情緒問題消失,也重新回歸日常生活。
現克洛伊已經可以完全獨立生活,不但能開車、工作,亦重新申請大學,目前正在舊金山一間設計學院上學。她表示:「對我來說,醫院的治療讓我有機會將我一直以來嚮往的生活化為現實,我很感謝」。
Text:UrbanLife Health Editorial
Photos:UrbanLife Health Editorial




