
【迷信悲劇】胎死腹中已9年!婦女怕「石胎是詛咒」拒做手術終致腸梗阻死亡
美國日前發生一宗因迷信致死的悲劇!一名剛來到美國不久的50歲女難民,因腹部嚴重絞痛而到醫院求診,檢查後發現她的體內竟有一個宮外孕產生的、已經鈣化的死胎,也被稱為石胎(Lithopedion)。她堅信「石胎」是「詛咒」,害怕動手術會遭天譴,因此9年來一直拒絕治療,導緻小腸梗阻、大靜脈受壓迫,出現一系列健康問題,最終病情惡化離世。

胎兒7個月無心跳死於腹中
根據《BMC女性健康》報導,該名50歲婦女來自非洲國家剛果,因武裝衝突而輾轉至另一非洲國家坦桑尼亞定居,在當地自然產方式生過8胎,其中3胎夭折。她第9次懷孕時,在7個月明顯感覺胎兒活動頻率降低,便到當地難民營的衛生機構求診,被告知胎兒已無心跳胎死腹中。
因批評謾罵不敢再接受治療
在醫療條件有限的難民營,醫生讓婦女回家等待自然流產,如果兩週後還沒任何動靜再回診。兩週後她自然分娩失敗,打算重回診所求助,可半個月時間過去,外面已經傳出不少閒言閒語,只要她踏出房門,人們就會指著她的鼻子控訴她「做了壞事」、「殺了孩子」、「惡魔」,就連診所內的人也指責她吸毒、行為不檢,導致孩子未出生就離世。
鋪天蓋地的謾罵令婦女感到羞愧,不敢再接受治療,從此只為去世的孩子默默祈禱。就這樣,死胎繼續留在她的腹中,她的腹部變得越來越堅硬,時常疼痛難忍,但她寧願忍耐身體病痛,也不想再遭遇異樣的目光和評價,堅決不靠近診所一步。
腹痛求診發現腹內有「石胎」
時間一晃就是9年,婦女再次離開坦桑尼亞,以難民身分前往美國。到達美國不久後,她因長期消化不良,腹部疼痛而求診。醫生最開始給她測了血壓,發現有高血壓,隨後觸診時摸到她腹部有大的硬塊,做了婦科相關的檢查,排除了子宮癌、子宮肌瘤等情況。由於難民登陸美國前必須做全面體檢,醫生之後調出了她的醫療檔案,發現一個驚人情況,她的病歷上明確寫了「鈣化腹腔妊娠和原發性高血壓 」,也就是俗稱的石胎(Lithopedion)。
Photo from 網上圖片
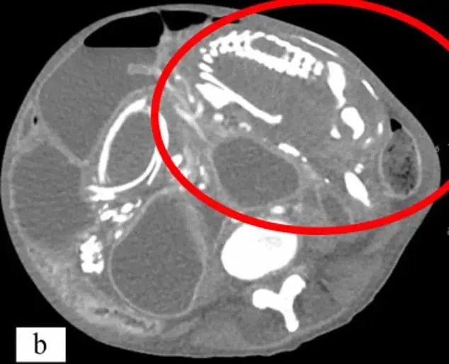
「石胎」導致小腸梗阻、常年消化不良
根據 CT 掃描的發現,她的腹中有一個長15至20cm的石胎,能清晰看到胎兒的骨架。因為石胎體積較大,導致她的小腸梗阻、大靜脈受壓迫、盆骨壓迫、高血壓和感染了幽默螺桿菌、常年消化不良、腹痛。由於鈣化的石胎壓迫大小腸,她一吃多就吐,嚴重的時候吐膽汁,所以不敢多吃,導致營養不良,體質很弱,而她也因為害怕「詛咒」而拒絕了所有口服藥物。
Photo from 網上圖片
堅信「石胎」是「詛咒」
在醫生百般勸說下,她勉強同意吃了抗生素和降壓藥。然而,當醫生護士們建議她接受手術移除石胎時,她強烈反對:「我內心真的不願意這麼做。」她還是堅信石胎是在坦桑尼亞難民營時的詛咒,並向醫生們再三確認:「我準備好了會跟你們說的,我不害怕死。」
迷信致死案令人感到遺憾
婦女的腸梗阻情況越來越嚴重,卻依然堅拒做手術,最後還執意出了院。 14個月後,她因為腸梗阻導致極度營養不良,最終在美國去世。事件經媒體報導後,引發網民關注,不少網民紛紛留言表示:「可憐的女人遭大罪,願你和你的寶寶安息」、「太令人悲傷了,因為覺得別人詛咒她所以不就醫?」、「 對媽媽和寶寶來說都是難過的事。無知和迷信最後殺死了她。」
根據目前的醫療病例記錄,全世界出現過的「石胎」病例還不到300例。而且醫學文獻稱,石胎對人體的影響因人而異,它可能不會引發任何症狀,可以在體內保存長達60年不被察覺,也可能影響胃腸道和泌尿生殖系統。
Text : UrbanLife Health Editorial
Photos : UrbanLife Health Editorial、網上圖片




