
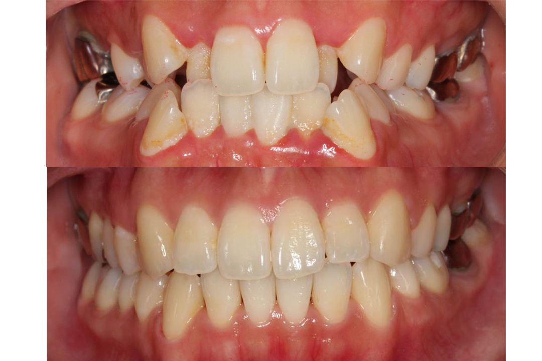
箍牙豈止為了靚靚!牙齒不齊與牙肉紅腫出血、牙痛口臭、補牙易甩等牙齒問題統統有關
透明隱形牙套的出現令箍牙變得舒適又美觀,不少人為了牙齒整齊「靚靚」都不再抗拒箍牙。但原來牙齒不齊除了影響外貌儀容,在健康角度上更有機會影響進食、發音、口腔清潔,從而出現蛀牙、牙肉紅腫出血、牙痛口臭、補牙易甩等牙周病徵狀;嚴重甚至造成崩牙缺牙,若長期忽視缺牙,牙齒會越趨移位,拖延到想做植牙補救也「插針都唔入」。面對環環相扣的牙齒問題,我們應該從何入手,去決定簡單進行補牙洗牙療程,還是箍牙幫到你解決根本牙齒問題呢?下文將有免費口腔掃瞄傳送門,找出你有沒有箍牙需要,由專業牙醫結合科技檢查準確找出答案(名額100位)。

常見牙齒問題1:智慧齒,原來會造成牙齒不齊及出現咬合問題?
普遍成年人都長出3-4顆智慧齒,有些人會因智慧齒橫生會拔除智慧齒,或因智慧齒影響而拔除它前面的大牙,幾年後發現牙齒越來越走位,出現上下排牙齒咬合不齊。正常的牙齒咬合應是上排牙包覆下排牙, 而且上下門牙前後應有適當距離,若出現「牙尖貼牙尖」則是有咬合不正傾向,容易磨損牙齒。
雖然現時沒有研究顯示智慧齒生長會導致它前面的牙齒擁擠或「推」到牙齒,但其實牙齒隨年齡增長,也會令牙齒走位或出現磨損,所以牙齒經年累月使用下都應勤加檢查,最簡單可以自我照鏡觀察牙齒是否整齊,有無崩牙磨損,但最好還是建議定期找專業牙醫進行口腔掃瞄進行檢查。

常見牙齒問題2:牙肉發炎、牙周病、甚至蛀牙,都由牙齒不齊引起?
歪斜的牙齒增加清潔牙縫難度,容易卡到食物殘渣藏污納垢,引起口臭、積聚牙石以及滋生牙菌斑,從而出現牙肉紅腫、出血等初期牙周病的典型徵狀,甚至頻繁地蛀牙。正如上文提到,若然患者有「牙尖貼牙尖」情況,即使接受補牙也特別容易磨牙,造成補牙物料鬆脫或琺瑯質受損,終於變成「磨崩牙」加劇蛀牙,當蛀至牙根深處已保不住這顆牙齒,須面臨植牙的命運了!

箍牙幫你解決以上牙齒不齊引起的牙齒問題
面對環環相扣的牙齒問題,其實可以箍牙解決!第一,將牙齒排齊後,有助減少食物攝在牙縫,箍牙後讓你更易清潔牙齒,從根本解決牙石、牙菌等問題。第二,牙齒咬合也可以因箍牙而矯正,改善上下排撞擊、磨牙磨損等問題。
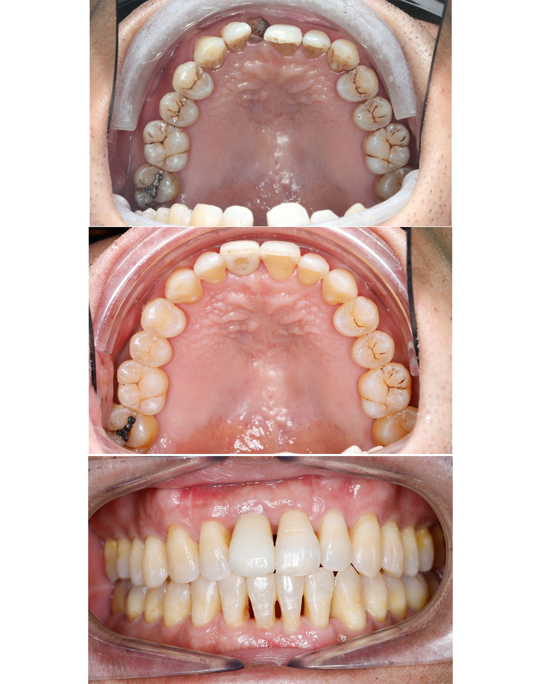
常見牙齒問題3:原來植牙前也需要先箍牙?
同樣地,缺牙後想植牙也是否一定要箍牙呢?牙齒本來就會依靠生長,在缺牙後如不是即時植牙,牙齒可能就會走向空缺位置,令牙齒越來越走位,最後失去足夠的空間放入植牙。假若牙床空間僅欠一點點,代價是磨坎旁邊的健康牙齒「偷位」放入植牙,而新植牙的牙齒大小亦未必可以達至最自然美觀;較理想的做法,可以選擇先箍牙騰空足夠位置再放入植牙,為植牙建立合適環境。


想了解牙齒狀況,有沒有箍牙需要?免費iTero口腔掃瞄
考慮箍牙需向專業牙醫諮詢。作為隱形牙套的龍頭隱適美,在2022年更突破全球超過1,300萬用家+,是廣泛獲專科牙醫選用矯齒品牌,它的箍牙療程能夠針對各種簡單至複雜的牙齒狀況,由專業隱適美合作牙醫去檢查及診斷。
在箍牙前,很多人會問是否一定需要剝牙,這點需視乎牙床位置是否充足而定。在開始療程前隱適美牙醫會與患者討論,以獨有Clincheck軟件設計療程每一步的牙齒移動,從而建議剝牙或非剝牙方案,患者可以預覽及清晰了解整個療程。
確認療程後,隱適美牙醫會全程跟進,患者須每日戴上牙箍20-22小時,只需進食時除下牙箍,除戴方便。以其先進專利科技及牙箍獨有物料,一步一個牙箍精準移動,而途中亦須定期會見隱適美合作牙醫以確保牙齒進程,最後排齊牙齒。

為了幫助患者了解箍牙需要,隱適美現免費提供由公司專利開發的iTero口腔掃瞄,讓你了解牙齒狀況,還有全新模擬功能,能提供模擬矯正完成圖,病人可直接看到矯正前後差距的模擬圖。在療程時能夠進行進度評估(Progress assessment),在不同治療過程中可以直接掃描比對真實情況,追蹤治療的進度及療效並找出計劃落差及,牙醫肉眼肉容易忽略的小細節。
如果你正猶豫是否需要箍牙,可以立即登記限定免費 iTero口腔掃瞄,由牙醫為你解說個人的牙齒狀況,了解你有沒有箍牙需要。名額100位*,立即報名:https://forms.gle/WsuUNATFJmaBEX8d8
了解箍牙療程更多:
https://bit.ly/3zjCJkf
+數據源自Align Technology內部資料,2022年6月
*名額有限,額滿即止。



