
【新型肺炎肺部纖維化】日本女康復者肺部失機能 丈夫兒子捐肺活體移植創全球首例
部分新冠肺炎患者會出現肺部纖維化的問題,日本京都大學醫院成功為一名肺部纖維化的新冠女患者進行活體肺臟移植,其丈夫及兒子各提供一部份肺臟,成為全球新冠康復者首度進行活體肺移植的個案。
Photo from 共同社
該名來自關西地區的女患者去年年底感染新冠病毒,其病情急速惡快,醫生曾使用葉克膜體外循環膜系統(ECMO)為她進行3個多月的體外循環治療,亦即「人工肺」。患者近兩個月的檢測呈現陰性反應,但兩側肺皆已纖維化,縮小及變硬,幾乎沒有正常機能,痊癒機會渺茫。據悉各國皆有新冠患者接受肺部移植手術的案例,但受捐贈的肺部皆來自於腦死的捐贈者,而日本現時等候遺體捐獻的肺部的時間為兩年以上。因此該名患者的家人向院方提出申請,要捐出肺臟予患者。
該名女病患本月5日進行移植手術,丈夫及兒子各捐左右肺臟一部份,在將近11個小時後,手術順利成功。目前這名女病患在加護病房接受治療,復原情況順利的話,預計2個月後可出院,3個月後能恢復正常生活,而她的丈夫及兒子的身體情況亦良好,並表示「心中充滿謝意」。

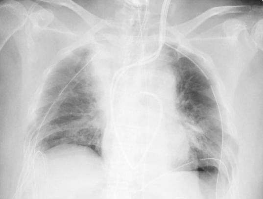
負責執刀的京都大學醫學部附屬醫院呼吸器外科主任伊達洋至表示,因為患者的肺臟組織變得脆弱,容易出血,所以單是止血就花了好幾個小時。手術前女病患的肺部X光檢查顯示,兩側肺臟呈現白色,而不能發揮功能,但手術後,肺臟在X光片上已呈黑色,可正常發揮功能。
伊達洋至表示,肺部活體移植手術可成為新冠患者治療的新選項。院方補充,肺部活體移植手術只適用於沒有其他器官損傷的病患,許多新冠肺炎患者往往同時患有其他慢性疾病,因此不能接受活體肺部移植。
肺纖維化原因
根據中大醫學院資料,當肺部持續發炎,受損後會形成疤痕組織,可引起肺纖維化(fibrosis)現象。纖維化組織會阻礙吸收氧氣和排出二氧化碳,以致肺功能下降。初期徵狀並不明顯,患者或會有乾咳、容易氣喘、疲倦等。 雖然目前尚無藥物或其他治療方法可讓纖維化的組織恢復正常,除非纖維化範圍很大,一般而言不會對日常生活構成嚴重影響。當年沙士康復者中,約8成患者的肺功能都能回復至以前水平。
Text : UrbanLife Health Editorial
Photos : UrbanLife Health Editorial
Source:共同社、中大醫學院




