
【罕見胎中胎】1歲女嬰行動遲緩、頭部異常大 檢查驚現大腦寄生「雙胞胎妹妹」
內地一名1歲女嬰因為動作發展遲緩,被家人送往醫院檢查,經過專家診斷後發現,女嬰的腦中居然還有另一個發育未完整的雙胞胎姊妹。這種「胎中胎」的情況極為罕見,全球不到200例!
Photo from neurology.org
女嬰動作發展遲緩、患有腦積水
綜合外媒報導,上海復旦大學華山醫院神經科醫生李宗澤是負責治療女嬰的主治醫生,他將該研究發表在美國神經學學會的期刊《神經學》中。李宗澤醫生表示,該名1歲女嬰被發現有動作發展遲緩的情況,且還患有腦積水,因而導致她的頭部變大、嚴重嗜睡和癲癇。
Photo from neurology.org
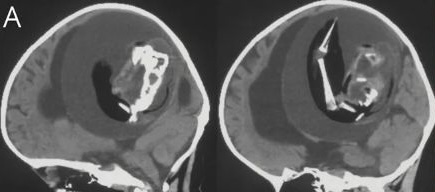
腦中有一個約10公分的胎兒
醫療團隊經檢查後發現女嬰的腦內竟然有一個約10公分的胎兒,且從照片中可見脊椎、上肢、骨骼似乎都已長出來了,不過未發育完整,因此研判是女嬰的雙胞胎姊妹。而這種胎兒留存在另一名胎兒體內的情況是一種發育異常,稱之為「胎中胎」(Fetus-in-fetu)。
Photo from neurology.org
「胎中胎」案例極為罕見
目前醫療團隊已將女嬰腦中的胎兒取出,但未知後續會否對孩子的健康狀況造成其他影響。根據醫學文獻上的記錄,這種病例非常罕見,目前僅不到200例,且出現在顱內的只有18例,據了解,大約每50萬個新生兒中就會有一例胎中胎。
Photo from neurology.org
Text : UrbanLife Health Editorial
Photos : UrbanLife Health Editorial、neurology.org




